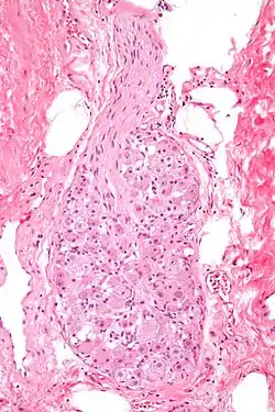
Ganglion
Micrograph of a ganglion. H&E stain.
Details
SystemNervous system
Identifiers
Latinganglion
MeSHD005724
TA98A14.2.00.002
FMA5884
Anatomical terminology
A dorsal root ganglion (DRG) from a chicken embryo (around stage of day 7) after incubation overnight in NGF growth medium stained with anti-neurofilament antibody. Note the axons growing out of the ganglion.

A ganglion (pl.: ganglia) is a group of neuron cell bodies in the peripheral nervous system. In the somatic nervous system, this includes dorsal root ganglia and trigeminal ganglia among a few others. In the autonomic nervous system, there are both sympathetic and parasympathetic ganglia which contain the cell bodies of postganglionic sympathetic and parasympathetic neurons respectively.

A pseudoganglion looks like a ganglion, but only has nerve fibers and has no nerve cell bodies.

Structure

Ganglia are primarily made up of somata and dendritic structures, which are bundled or connected. Ganglia often interconnect with other ganglia to form a complex system of ganglia known as a plexus. Ganglia provide relay points and intermediary connections between different neurological structures in the body, such as the peripheral and central nervous systems.

Among vertebrates there are three major groups of ganglia:

In the autonomic nervous system, fibers from the central nervous system to the ganglia are known as preganglionic fibers, while those from the ganglia to the effector organ are called postganglionic fibers.

Basal ganglia

The term "ganglion" refers to the peripheral nervous system.[1]

However, in the brain (part of the central nervous system), the basal ganglia is a group of nuclei interconnected with the cerebral cortex, thalamus, and brainstem, associated with a variety of functions: motor control, cognition, emotions, and learning.

Partly due to this ambiguity, the Terminologia Anatomica recommends using the term 'basal nuclei' instead of 'basal ganglia'; however, this usage has not been generally adopted.

Pseudoganglion

A pseudoganglion is a localized thickening of the main part or trunk of a nerve that has the appearance of a ganglion[2] but has only nerve fibers and no nerve cell bodies.

Pseudoganglia are found in the teres minor muscle[3] and radial nerve.

See also

References

  1. "Glossary G". UNSW Embryology. Archived from the original on 14 December 2007. Retrieved 2008-01-13.
  2. "pseudoganglion". The Free Dictionary. Retrieved 19 December 2016.
  3. Gitlin, G. (Oct 1957). "Concerning the gangliform enlargement (pseudoganglion) on the nerve to the teres minor muscle". Journal of Anatomy. 91 (4): 466–70. PMC 1244902. PMID 13475146.
  • Media related to Ganglia at Wikimedia Commons
This article is issued from Wikipedia. The text is licensed under Creative Commons - Attribution - Sharealike. Additional terms may apply for the media files.