CIC
Available structures
PDBOrtholog search: PDBe RCSB
Identifiers
AliasesCIC, capicua transcriptional repressor, MRD45, CIC gene
External IDsOMIM: 612082 MGI: 1918972 HomoloGene: 87637 GeneCards: CIC
Orthologs
SpeciesHumanMouse
Entrez

23152

71722

Ensembl

ENSG00000079432

ENSMUSG00000005442

UniProt

Q96RK0

Q924A2

RefSeq (mRNA)

NM_001110131
NM_001110132
NM_027882
NM_001302811

RefSeq (protein)

NP_001289740
NP_082158

Location (UCSC)Chr 19: 42.27 – 42.3 MbChr 7: 24.97 – 24.99 Mb
PubMed search[3][4]
Wikidata
View/Edit HumanView/Edit Mouse

Capicua transcriptional repressor is a protein that in humans is encoded by the CIC gene.[5][6][7] Capicua functions as a transcriptional repressor in a way that ensures its impact on the progression of cancer, and plays a significant role in the operation of the central nervous system through its interaction with ataxin 1. The name of the protein derives from the Catalan expression cap-i-cua which literally translates to "head-and-tail".[8]

Structure

Capicua is a highly conserved protein, with a lot of similarity between human and Drosophila melanogaster.[9] In the human body, capicua exists in two isoforms, the short (CIC-S) and the long (CIC-L) one, which differ in their N-terminal section. The two evolutionarily conserved domains of the protein are HMG-box (high-mobility group box) and the C1 domain: they work together to recognize specific octameric DNA sequences.[9] Capicua also contains a nuclear localisation sequence that allows it to enter the nucleus of the cell.

Schematic illustration of human CIC-S and CIC-L forms of the capicua protein. CIC-L has a unique long N-terminal region compared with CIC-S. The amino acid regions of CIC responsible for the interaction with ATXN1/ATXN1L, 14-3-3, and ERK, the HMG box, nuclear localization signal (NLS), c-Src-mediated phosphorylation site, and C1 domain, are depicted. Numbers indicate amino acid positions. EBS: ERK binding site. From a review by Yoontae Lee, 2020.[9]

Clinical significance

A new disorder called autosomal dominant intellectual developmental disorder 45 caused by mutations of the CIC gene was first described in 2017.[10]

Spinocerebellar ataxia

Capicua forms a complex with ataxin 1 (CIC-ATXN1 complex) and owing to this interaction it plays a crucial role in the development of spinocerebellar ataxia type 1. While in a healthy organism this complex serves to ensure correct cellular function, in patients with ATXN1 mutations a modified complex has a toxic effect on cerebellar cells, resulting in the motor symptoms typical for this disorder.[9] Blocking the formation of the complex in a murine model of ataxia reduces the symptoms.

Tumors

CIC has been shown to act as a tumor suppressor in numerous types of cancer,[9] and, vice versa, mutations of CIC have been found in some types of tumors. According to a review published in 2020, CIC mutations were most often discovered in oligodendroglioma.[9] A genomic translocation resulting in the formation of a hybrid CIC-DUX4 gene may cause an aggressive Ewing-like sarcoma.[11] Instead of acting as a suppressor, a hybrid protein produced by fusion of CIC and DUX4 has been shown to act as an activator of genes.[12]

According to a review published in 2017, the CIC gene is deleted in 46-53% of analyzed oligodendroglioma tumors as part of the 1p/19q codeletion, a mutation that may also affect the FUBP1 gene.[13]

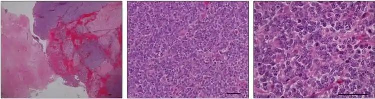
Primary sarcoma with a chimeric CIC-DUX4 protein in a 9 year-old girl, H&E stain, from Nakai et al., 2019.[14]

Ongoing research

According to a study published in 2021, CIC mutations may be among the causes of cerebral folate deficiency.[15]

History

The CIC gene was first identified in Drosophila in 2000.[9] It was shown to encode a transcriptional repressor participating in the regulation of embryogenesis. In a mutated fly which at the embryonic stage had only the first and the last segments present, with the intermediate segments missing, scientists discovered a mutation of the CIC gene, and this prompted them to call the protein capicua ("head-and-tail" in Catalan).

Disrupted embryogenesis in a Drosophila fly due to the cic4 mutation affecting the CIC gene. The formation of the fly's intermediate body segments is suppressed, with only the first and the last segments being developed. From Marta Fores et al., 2017.[16]

Interactions

  • FOLR1 — capicua has been shown to affect the expression of folate receptor alpha, and CIC mutations might result in cerebral folate deficiency.[15]
  • ATXN1 — capicua and ataxin 1 form a complex (ATXN1-CIC) which is crucial for proper brain development.[10]
  • DUX4 – chimeric CIC-DUX4 proteins are found in tumors.[10]
  • FOXO4 – chimeric CIC-FOXO4 proteins are found in tumors.[12]
  • NUTM1 – chimeric CIC-NUTM1 proteins are found in tumors.[12]
  • LEUTX – chimeric CIC-LEUTX proteins are found in tumors.[12]

References

  1. 1 2 3 GRCh38: Ensembl release 89: ENSG00000079432 - Ensembl, May 2017
  2. 1 2 3 GRCm38: Ensembl release 89: ENSMUSG00000005442 - Ensembl, May 2017
  3. "Human PubMed Reference:". National Center for Biotechnology Information, U.S. National Library of Medicine.
  4. "Mouse PubMed Reference:". National Center for Biotechnology Information, U.S. National Library of Medicine.
  5. Lee CJ, Chan WI, Cheung M, Cheng YC, Appleby VJ, Orme AT, Scotting PJ (Oct 2002). "CIC, a member of a novel subfamily of the HMG-box superfamily, is transiently expressed in developing granule neurons". Brain Res Mol Brain Res. 106 (1–2): 151–6. doi:10.1016/S0169-328X(02)00439-4. PMID 12393275.
  6. Lee CJ, Chan WI, Scotting PJ (Jun 2005). "CIC, a gene involved in cerebellar development and ErbB signaling, is significantly expressed in medulloblastomas". J Neurooncol. 73 (2): 101–8. doi:10.1007/s11060-004-4598-2. PMID 15981098. S2CID 24938086.
  7. "Entrez Gene: CIC capicua transcriptional repressor [ Homo sapiens (human) ]".
  8. "Society for Developmental Biology". SDB Online. Retrieved 23 March 2022.
  9. 1 2 3 4 5 6 7 Lee Y (2020). "Regulation and function of capicua in mammals". Exp Mol Med. 52 (4): 531–537. doi:10.1038/s12276-020-0411-3. PMC 7210929. PMID 32238859.
  10. 1 2 3 Lu HC, Tan Q, Rousseaux MW, Wang W, Kim JY, Richman R, Wan YW, Yeh SY, Patel JM, Liu X, Lin T, Lee Y, Fryer JD, Han J, Chahrour M, Finnell RH, Lei Y, Zurita-Jimenez ME, Ahimaz P, Anyane-Yeboa K, Van Maldergem L, Lehalle D, Jean-Marcais N, Mosca-Boidron AL, Thevenon J, Cousin MA, Bro DE, Lanpher BC, Klee EW, Alexander N, Bainbridge MN, Orr HT, Sillitoe RV, Ljungberg MC, Liu Z, Schaaf CP, Zoghbi HY (April 2017). "Disruption of the ATXN1-CIC complex causes a spectrum of neurobehavioral phenotypes in mice and humans". Nature Genetics. 49 (4): 527–536. doi:10.1038/ng.3808. PMC 5374026. PMID 28288114.
  11. Antonescu CR, Owosho AA, Zhang L, Chen S, Deniz K, Huryn JM, Kao YC, Huang SC, Singer S, Tap W, Schaefer IM, Fletcher CD (July 2017). "Sarcomas With CIC-rearrangements Are a Distinct Pathologic Entity With Aggressive Outcome: A Clinicopathologic and Molecular Study of 115 Cases". The American Journal of Surgical Pathology. 41 (7): 941–949. doi:10.1097/PAS.0000000000000846. PMC 5468475. PMID 28346326.
  12. 1 2 3 4 Wong D, Yip S (April 2020). "Making heads or tails - the emergence of capicua (CIC) as an important multifunctional tumour suppressor". The Journal of Pathology. 250 (5): 532–540. doi:10.1002/path.5400. PMID 32073140. S2CID 211192274.
  13. Park SH, Won J, Kim SI, Lee Y, Park CK, Kim SK, Choi SH (May 2017). "Molecular Testing of Brain Tumor". Journal of Pathology and Translational Medicine. 51 (3): 205–223. doi:10.4132/jptm.2017.03.08. PMC 5445205. PMID 28535583.
  14. Nakai S, Yamada S, Outani H, Nakai T, Yasuda N, Mae H, Imura Y, Wakamatsu T, Tamiya H, Tanaka T, Hamada K, Tani A, Myoui A, Araki N, Ueda T, Yoshikawa H, Takenaka S, Naka N (November 2019). "Establishment of a novel human CIC-DUX4 sarcoma cell line, Kitra-SRS, with autocrine IGF-1R activation and metastatic potential to the lungs". Scientific Reports. 9 (1): 15812. Bibcode:2019NatSR...915812N. doi:10.1038/s41598-019-52143-3. PMC 6825133. PMID 31676869.
  15. 1 2 Cao X, Wolf A, Kim SE, Cabrera RM, Wlodarczyk BJ, Zhu H; et al. (2020). "CIC de novo loss of function variants contribute to cerebral folate deficiency by downregulating FOLR1 expression". J Med Genet. 58 (7): 484–494. doi:10.1136/jmedgenet-2020-106987. PMC 7895856. PMID 32820034.{{cite journal}}: CS1 maint: multiple names: authors list (link)
  16. Forés M, Simón-Carrasco L, Ajuria L, Samper N, González-Crespo S, Drosten M, Barbacid M, Jiménez G (March 2017). "A new mode of DNA binding distinguishes Capicua from other HMG-box factors and explains its mutation patterns in cancer". PLOS Genetics. 13 (3): e1006622. doi:10.1371/journal.pgen.1006622. PMC 5344332. PMID 28278156.

Further reading

This article is issued from Wikipedia. The text is licensed under Creative Commons - Attribution - Sharealike. Additional terms may apply for the media files.