Ovarian Cystadenocarcinoma
Other namescystadenoma carcinoma
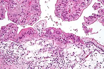
Intermediate magnification micrograph of a low malignant potential (LMP) mucinous ovarian tumour. H&E stain.

The micrograph shows:

Simple mucinous epithelium (right) and mucinous epithelium that pseudo-stratifies (left - diagnostic of a LMP tumour).

Epithelium in a frond-like architecture is seen at the top of image.
SpecialtyGynaecological oncology
SymptomsAbdominal pain, Abdominal swelling/distension, Increased abdominal girth, Bloating, ascites, nausea, Vomitting, Unusual Bowel and bladder movement, lack of appetite/early satiety, weightloss, fatigue, vaginal bleeding, acid reflux, shortness of breath
Differential diagnosisovarian cyst, uterine fibroid, benign uterine lesions, pelvic abscess, pelvic inflammatory disease, adnexal tumours, endometriosis, distended bladder, impacted faecal matter, tumour of appendix, Uterine anomalies, hydro/pyosalpinx, adhesions of bowel or momentum, carcinoma of colon, embryonic adhesions, tracheal cyst, adenocarcinoma of stomach, low-lying caecum, metastasised gastrointestinal carcinoma, ovarian torsion, pelvic kidney, peritoneal cyst, retroperitoneal mass, irritable bowel syndrome.
Treatmentsurgical debunking surgery with or without chemotherapy
Medicationcarboplatin, paclitaxel, cisplatin, Liposomal doxorubicin, etoposide, topotecan, gemcitabine, docetaxel, vinorelbine, ifosfamide, fluorouracil, melphalan, altretamine, bevacizumab, olaparib, rucaparib, niraparib, mesna.

Cystadenocarcinoma is a malignant form of a cystadenoma and is a cancer derived from glandular epithelium, in which cystic accumulations of retained secretions are formed. The neoplastic cells manifest varying degrees of anaplasia and invasiveness, and local extension and metastases occur. Cystadenocarcinomas develop frequently in the ovaries,[1] where pseudomucinous and serous types are recognized. Similar tumor histology has also been reported in the pancreas, although it is a considerably rarer entity representing 1–1.5% of all Pancreatic cancer.[2][3]

A cystadenocarcinoma contains complex multi-loculated cyst but with exuberant solid areas in places. It usually presents with omental metastases which cause fluid accumulation in the peritoneal cavity (ascites). Cystadenocarcinomas can be classified into serous cystadenocarcinomas and mucinous cystadenocarcinomas.

Serous cystadenocarcinomas

Among the ovarian tumours, serous tumours are most common, having a variegated appearance. Bilateral presentation is common with serous cystadenocarcinoma.[4]

See also

References

  1. "Ovarian papillary cystadenocarcinoma". Female Genital Pathology, WebPath, The Internet Pathology Laboratory for Medical Education. Eccles Health Sciences Library, The University of Utah. Retrieved 2009-03-23.
  2. Wexler A, Waltzman RJ, Macdonald JS (2006-07-11). "Unusual Tumors of the Pancreas". In Raghavan D, Brecher ML, Johnson DH, Meropol NJ, Moots PL, Rose PG (eds.). Textbook of Uncommon Cancer. John Wiley & Sons. p. 368. doi:10.1002/0470030542.ch32. ISBN 978-0-470-03055-4.
  3. King JC, Ng TT, White SC, Cortina G, Reber HA, Hines OJ (October 2009). "Pancreatic serous cystadenocarcinoma: a case report and review of the literature". Journal of Gastrointestinal Surgery. 13 (10): 1864–1868. doi:10.1007/s11605-009-0926-3. PMC 2759006. PMID 19459016.
  4. Salhan S (2011). "diseases of ovary". Textbook of gynaecology. Jaypee Brothers Medical Publishers. pp. 352–355. ISBN 978-93-5025-369-4.
This article is issued from Wikipedia. The text is licensed under Creative Commons - Attribution - Sharealike. Additional terms may apply for the media files.